Teeth Whitening near Point Cook
- Home
- Teeth Whitening near Point Cook
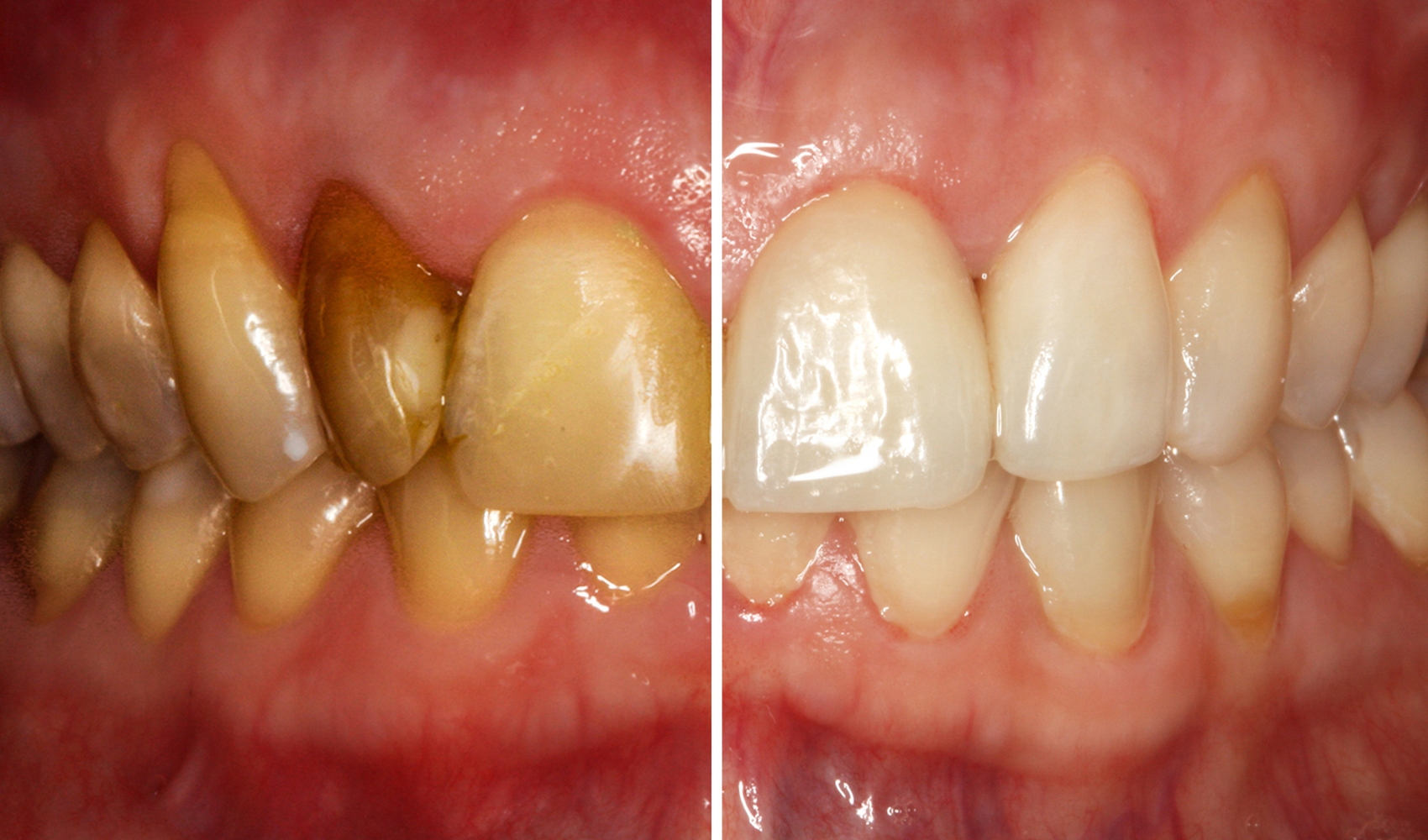
Teeth whitening near Point Cook is a commonly requested cosmetic dental service for individuals looking to address staining or discolouration caused by lifestyle, ageing, or dietary factors. At Wyndham Smile Care, teeth whitening is approached as a personalised treatment, with careful assessment of each patient’s oral health before any procedure is recommended. Discolouration can develop over time due to factors such as coffee, tea, red wine, smoking, certain medications, or natural enamel thinning, which may leave teeth appearing dull or yellowed.
Before commencing teeth whitening treatment, our dental team conducts a thorough examination to determine whether whitening is appropriate and to identify any underlying dental concerns such as decay, enamel wear, or gum sensitivity. This ensures treatment planning is safe and suitable for individual needs. Teeth whitening is not a one-size-fits-all service, and outcomes can vary depending on the original shade of the teeth, enamel condition, and personal habits.
Professional teeth whitening near Point Cook is performed under dental supervision, using clinically approved materials and techniques. This allows whitening agents to be applied in a controlled manner while minimising the risk of irritation to the gums or surrounding tissues. Unlike over-the-counter products, in-clinic and dentist-guided whitening treatments are tailored to the patient and delivered with professional oversight.
Teeth whitening may be considered as part of a comprehensive dental care plan, particularly for patients preparing for special occasions or seeking subtle aesthetic improvement. Ongoing oral hygiene and regular dental reviews play an important role in maintaining whitening results over time.
At Wyndham Smile Care, patient education is an important part of the whitening process. Our dentists take time to explain available options, expected outcomes, and post-treatment care, supporting informed decision-making. Teeth whitening may be suitable for patients seeking a refreshed smile appearance as part of a broader approach to oral health and cosmetic care, while maintaining realistic expectations and long-term dental well-being.
To learn more about teeth whitening near Point Cook, contact Wyndham Smile Care to arrange a consultation.
Types of Teeth Whitening
Teeth whitening options may vary depending on individual needs, preferences, and clinical assessment. Common types of teeth whitening include:
- In-chair professional teeth whitening
A dentist-supervised procedure performed at the clinic using regulated whitening agents.
- Take-home teeth whitening kits
Custom-made trays provided by the dentist for gradual whitening at home under professional guidance.
- Combination whitening treatments
A structured approach that includes both in-chair treatment and take-home maintenance.
- Internal whitening (for specific cases)
Considered in situations where discolouration is linked to internal tooth changes, subject to suitability.
- Maintenance whitening options
Used periodically to help manage future staining, depending on oral health and lifestyle factors.
Whitening outcomes and suitability can vary, so professional assessment helps align treatment choices with oral health needs and expectations. The most appropriate option is determined following a dental examination and discussion with your dentist.
If you’re considering teeth whitening, our team is available to discuss suitable options during a dental consultation.
Teeth Whitening Treatment at Wyndham Smile Care
At Wyndham Smile Care, teeth whitening treatment is delivered with a focus on safety, suitability, and patient comfort:
- Comprehensive oral assessment before recommending whitening
- Evaluation of enamel condition, gum health, and existing restorations
- Selection of clinically approved whitening materials
- Dentist-guided application to help reduce sensitivity risks
- Clear explanation of treatment steps and expected outcomes
- Advice on post-treatment care and stain management
- Ongoing dental support as part of routine oral health care
Our approach to teeth whitening near Point Cook prioritises evidence-based dentistry, clear communication, and personalised treatment planning to support safe and informed cosmetic dental care.
Schedule a consultation to discuss teeth whitening near Point Cook.
Services We Provides:
General Dentistry
Cosmetic Dentistry
Cosmetic Dentistry
Area We Serve
What Our Patients Say!
Posted on Michelle CollierTrustindex verifies that the original source of the review is Google. I have been seeing Jasprett, since 2018. Amazing professional. I have had all kind of dental work , you can imagine, but I have never been disappointed with the result. From the moment you walk in, you are greeted with friendly staff. Highly recommend Jaspreet for anyone thinking of trying a new dentistPosted on thamara gunasenaTrustindex verifies that the original source of the review is Google. We have been getting dental care from Dr. Jaspreet in Wyndham Smile Care over last 10 years. So happy with the care and professional service we received.Posted on Bill BucklesTrustindex verifies that the original source of the review is Google. Crowns and bridge work by Doctor Jaspreet was a very big job but was completed in a very caring manner. The staff have been very helpful and the work was well done snd very much appreciated. I am very happy to recommend this dentist.
Owner's reply
Hi Bill Buckles, Thank you so much for your kind words and sharing your positive experience with Dr. Jaspreet and her staff. Crown and bridge job can be overwhelming but we are pleased to hear that you were satisfied with your treatment. Your recommendation means a lot to us. Looking forward to seeing you in near future. Warm Regards Wyndham smile care teamPosted on Edward SinhaTrustindex verifies that the original source of the review is Google. Dr Jaspreet Kaur and Harjinder performed well for the treatment. They take care of the patient and cooperative. Wishing them all the best.
Owner's reply
Hi Edward, Thank you so much for your kind words. Dr.Jaspreet and Harjinder will be thrilled to know that you have positive experience with us. Our team takes pride in caring for you for your dental needs. Looking forward to seeing you in near future. Warm Regards Wyndham smile care teamPosted on CheyenneTrustindex verifies that the original source of the review is Google. After having a horrible experience at a dentist in the city, I chose to come here based solely on the reviews. Well let me tell you, every positive review about Wyndham Smile care is spot on! Reception staff were lovely, and Dr Jaspreet was absolutely fantastic. I was so beyond anxious to come get a filling (after my last filling at a different dentist left me with ongoing pain), but Dr Jaspreet’s calming nature and gentle hand made it as comfortable as possible. So glad to have found a talented team to assist with my dental care needs. Yay 🥳
Owner's reply
Hi Cheyenne, Thank you so much for your kind words and a beautiful review. We are truly sorry to hear your past experience but we are glad you gave us the opportunity to look after your dental needs. Dr Jaspreet and her staff are thrilled to know that you have had positive experience with us. Your recommendation means a lot to us. Looking forward to seeing you in the future. Warm Regards Wyndham smile care teamPosted on Johnny WarboTrustindex verifies that the original source of the review is Google. Very happy with the dental work l had by Dr Jaspreet and the team at Wyndham Smile Care, thankyou.
Owner's reply
Hi Johny Warbo, Thank you so much for your kind words. We are pleased to hear that you have positive experience with Dr Jaspreet and her friendly staff. It means a lot to us. We look forward to seeing you again. Warm Regards Wyndham smile care teamPosted on Dilpreet PannuTrustindex verifies that the original source of the review is Google. I have been visiting Wydham Smile Care along with my wife for over 5 years. We are happy with the care we have received. Dr. Jaspreet has always given me sound advice and great care at reasonable cost as well. Staff is friendly and their online booking system is very handy. I have had regular clean and wisdom teeth extracted with great results.
Owner's reply
Hi Dilpreet, Thank you so much for your kind words and for being part of Wyndham smile care for over 5 years. We are pleased to hear that you and your family have positive experience with Dr Jaspreet and her team. Thank you for your recommendation and it means a lot to us. We look forward to seeing you and your family for many more years to come. Warm Regards Wyndham smile carePosted on Trudy CTrustindex verifies that the original source of the review is Google. We've been visiting Wyndham Smile Care since 2018 with our young children and my husband. Dr. Jaspreet has been our trusted dentist from the beginning, consistently showing a kind, gentle, and caring approach during every visit. Highly recommended, especially if you're someone who feels anxious about dental treatment.
Owner's reply
Hi Trudy, Thank you so much for your kind words and we are very pleased to know you and your family have positive experience with Dr Jaspreet and her team. Your trust in us and recommendation means a lot. We feel privileged to be your trusted dental provider and looking forward to seeing you again in near future. Warm Regards Wyndham smile care teamPosted on unicorn jellyTrustindex verifies that the original source of the review is Google. Our family has been visiting Wyndham Smile Care for our regular six-monthly check-ups for several years now, and we couldn’t be happier with the experience. The staff are always friendly, welcoming, and incredibly accommodating especially when it comes to scheduling appointments around our kids’ routines. We’ve been seeing Dr. Jaspreet Kaur, and she is truly an exceptional dentist. Her patience, professionalism, and gentle manner with children make every visit stress-free. She genuinely cares about her patients and takes the time to ensure everyone feels comfortable and well looked after. We’re grateful to have found such a wonderful dental practice
Owner's reply
Hi, Thank you so much for your kind words and ongoing trust in our team! We're truly grateful to have your family as part of our practice. It's always a pleasure to care for your smiles, and we're so glad to hear that Dr. Jaspreet Kaur and our staff have made your visits comfortable and stress-free — especially for the little ones. We look forward to seeing you again at your next check-up. Thank you for your continued support! Warm regards, The Wyndham Smile Care TeamGoogle rating score: 4.8 of 5, based on 133 reviews