Invisalign Clear Aligners Orthodontics Treatment
Invisible clear aligners are an alternative to traditional wire braces, allowing you to smile confidently without the hassle of metal brackets.
- Home
- Invisalign Clear Aligners Orthodontics Treatment
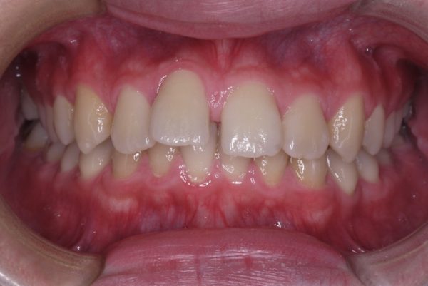
Best Orthodontist treatment for crooked teeth: Invisible Aligners
Not sure how to address crooked teeth?
We offer affordable custom fit Invisalign and clearcorrect clear aligners that are barely visible. We have over 20 years experience in improving smiles for residents. Book a free consultation with us to explore your options. We offer INVISALIGN and clear correct invisible aligners as an alternative to traditional wire braces, allowing you to smile confidently without the hassle of metal brackets.
- Needle-free, minimally-invasive treatments
- Relax with your choice of music
- Sedation and sleep dentistry offered for anxious patients
- Preview your expected results before even starting your treatment with us
- “Pay as you go” using your health funds or pay in instalments
Worried about financial stress?
At choice provider Dentist, our Invisalign Clear Aligners Orthodontics Treatment have never been more affordable.
You have the option to “pay as you go” using your health funds or to pay in instalments, making it easier to achieve the smile you’ve always wanted.
Tooth Replacement Options
Advantages of Invisalign Clear Aligners
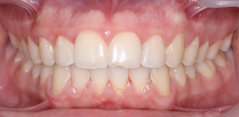
Straighten crooked teeth by gradually shifting them into the desired position with clear, removable aligners.
Braces vs Invisalign Clear Aligners
Comparison of normal braces to Invisalign/ClearCorrect Clear Aligners showing the benefits/features of each.
Invisalign Clear Aligners Treatment Process
Invisalign treatment involves a series of custom-made clear aligners that gradually shift teeth into the desired position.
Problems fixed by Invisalign Clear Aligners
Invisalign clear aligners can fix a variety of dental issues including crooked teeth, crowded teeth, gaps between teeth, overbites, underbites, crossbites, and open bites.
Choice Provider for affordable Invisalign Clear Aligners
As a #1 Choice Dental Provider Bupa Platinum, Medibank, AHM, NIB, HCF and more for residents, we offer affordable Invisialign Clear Aligners.
Smile confidently! – thanks to our invisible clear aligner orthodontic treatment
What Our Patients Say!
EXCELLENT Based on 195 reviews Posted on Google CJ THETRINITrustindex verifies that the original source of the review is Google. 10/10 servicePosted on Google LeeTrustindex verifies that the original source of the review is Google. Dr Aditi Sharma is excellent, highly recommendedPosted on Google Ahmad JohnTrustindex verifies that the original source of the review is Google. Very happy excellent service dr aditi done a very good job and gave a thorough explanation of how to floss and even gave me a free oral hygiene packPosted on Google Heidi KelaartTrustindex verifies that the original source of the review is Google. An amazing experience with Dr Aditi Sharma as always! She is patient and always goes the extra mile. I would highly recommend her for your future dental services ☺️Posted on Google rahul shuklaTrustindex verifies that the original source of the review is Google. Doctor Aditi was professional and has good wealth of knowledge. Amazing experiencePosted on Google Param sainiTrustindex verifies that the original source of the review is Google. I had a great experience with my dentist. She is highly professional, skilled. Her services are very reasonably priced.Posted on Google Rajwant KaurTrustindex verifies that the original source of the review is Google. I had a great experience at this clinic, the team is incredibly professional and Dr. Jaspreet Kaur took time to explain every step of the procedure. Highly recommended for anyone looking for high quality dental care.Posted on Google MichaelTrustindex verifies that the original source of the review is Google. Very good and awesome people. I would recommend anyone to come here and give them a try you will come back 100%
Frequently Asked Questions about Invisalign Clear Aligners Orthodontics Treatment
Can I see how my teeth will look before I go ahead?
Yes, the dentist will be able to show you how your teeth may look/preview of your treatment after clear aligner treatment has been planned.
Do invisible aligners like Invisalign and clearcorrect hurt?
A bit of discomfort with your first aligner is totally normal as it’s starting to move your teeth. Sometimes changing from one aligner to the next can be a bit uncomfortable, but it will settle over time. Some people find it helps to take a Panadol/ Nurofen for the first 2 days of wearing new sets of aligners – contact your Hoppers crossing dental provider if the pain does not improve.
How long does Invisalign treatment take?
On average, it can take anywhere from three to twelve months to straighten teeth with clear aligners. Some cases can take over a year. Every case is different and will depend on how much your teeth need to move. Your dentist will be able to tell you how long your treatment is likely to take after you have had an intraoral scan for 3D image and treatment set up for your teeth.
How many times do I need to visit your dental clinic?
You need to visit every 6 to 8 weeks for a short visit until you finish your treatment.The number of appointments you will need for teeth straightening will depend on the length of your treatment, as recommended by your dentist. In general, we try and keep appointments to a minimum to suit a busy lifestyle.
How long does each invisible alignment visit take?
Your intra-oral scan, bite records appointment and fitting appointments where you dentist will place attachments can take up to 40 min to an hour.
Other periodic visits 6 to 8 weeks will be of short duration 10 to 20 mins.
How much do invisible aligners cost?
Clear aligners can cost you up to 6K to 7k depending on complexity of your treatment. Some private health covers offer orthodontic treatment with clear aligners and braces especially if you have major dental cover with your private health.
We are preferred choice providers at Dentist and cover you for some of your cost for clear aligners, we can provide you the QUOTE with your private health insurance.
Do I need to pay for invisible aligner treatment up front?
You need to pay deposit of 1500 to 2K dollars to order your aligners, afterwards we can make you payment plan at Dentist that allows you to pay every 4 to 6 weeks when you visit for your periodic appointments.
Can I eat and drink with invisible aligners on?
It is not recommended to eat and drink with aligners on.
Unlike braces, you’ve got the all-clear to eat whatever you want. Just make sure you take out your aligners before eating anything. Once you’ve finished eating, give your teeth a brush and floss, rinse your aligner and pop it back in. While wearing your aligners, it’s best to stick with drinking cool water. Drinking anything besides water while wearing aligners is not recommended. If you’re going to drink anything other than water, just take your aligners out.
What should I do if my invisible aligners break?
Its very unlikely for your clear aligner to break as it is made of smooth,proprietary thermoformed thermoplastic and each set is worn only for 1-2 weeks.
Unfortunately, if it happens,you can wear your next set of aligners and also contact your Hoppers crossing dentist.
When will I start seeing results from the clear aligner orthodontic treatment?
Most patients start seeing changes within 4 to 6 weeks.
However, it can depend on several factors like complexity of your case, bite and your consistency of treatment.
Do I need to wear my invisible aligners all day?
You should wear your clear aligners for about 22 hours a day. They need to be removed each time you eat or have a drink other than water, once you’ve finished eating, give your teeth a brush, rinse your aligner and pop it back in.
Do you offer Invisalign treatment for teens in ?
Yes, we do offer Invisalign treatment for teens at Hoppers crossing dentist.
Invisalign teen is designed specifically for growing mouths and offer additional features like compliance indicators, small blue dots fade when worn correctly.
Do you offer Invisalign treatment for adults in ?
Yes, we do offer Invisalign/ clear correct treatment for adults at Hoppers Crossing dentist. It is a popular choice for adults who want a discreet way to straighten their teeth as they are nearly invisible, comfortable and removable.
Do you recommend Invisalign treatment for kids?
Yes, Invisalign treatment can be done for kids through a specialized version called Invisalign first, it is designed specifically for children aged 6 to 10 years old who have mix of baby and new teeth.
Do you advise Invisalign treatment for seniors?
Yes, Invisalign treatment can done for seniors, and it is a great option for seniors who want to straighten their teeth without traditional braces. Many seniors successfully use clear aligners to correct alignment, improve their bite and enhance their smile as clear aligners are discreet, comfortable and removable.