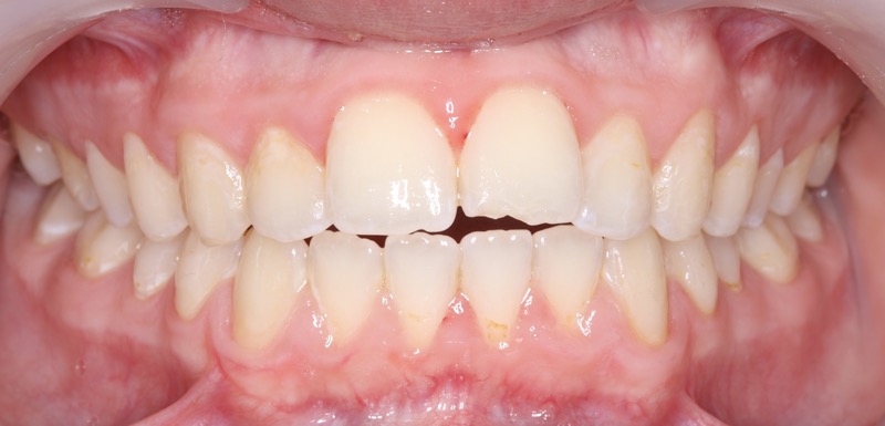
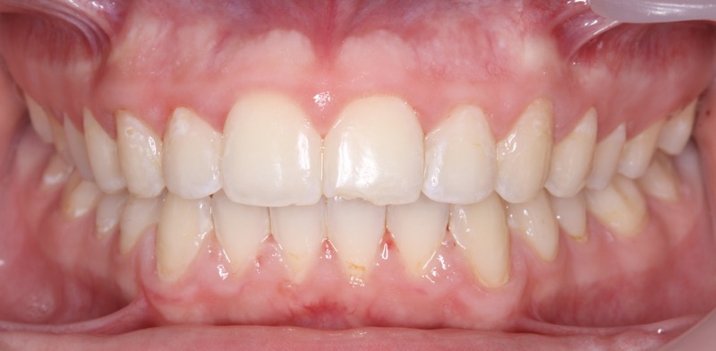
Choice Provider for affordable Invisalign Clear Aligners
As a Choice Dental Provider Bupa Platinum, Medibank, AHM, NIB, HCF and more, we offer affordable Invisialign Clear Aligners
As a Choice Dental Provider Bupa Platinum, Medibank, AHM, NIB, HCF and more, we offer affordable Invisialign Clear Aligners